Pak Hei (Hugo) YEUNG 楊栢熙

I am a Presidential Postdoctoral Fellow at the Nanyang Technological University (NTU), Singapore, working with Prof. Jagath Rajapakse.

I am also an associate researcher in the Oxford Machine Learning in NeuroImaging Lab at the University of Oxford, where I obtained my DPhil (i.e. PhD) under the supervision of Prof. Ana Namburete and Prof. Weidi Xie, generously supported by The R C Lee Centenary Scholarship.

I received my BEng in Medical Engineering from the University of Hong Kong, where I was supervised by Dr. WeiNing Lee for my final year project.

Email  /  Google Scholar  /  Twitter  /  Github  / 

profile photo
Selected Works

I'm interested in medical image analysis, machine learning, ultrasound imaging, and computer vision. Please check my Google Scholar for the most updated and complete list of publications.

* stands for co-first or co-last authorship.

Semi-Supervised 3D Medical Segmentation from 2D Natural Images Pretrained Model
Pak Hei Yeung, Jayroop Ramesh, Pengfei Lyu, Ana I.L. Namburete, Jagath Ragapakse,
Machine Learning in Medical Imaging (MLMI), 2025 (Oral)
project page / paper / code / video / bibtex

A model-agnostic approach for transferring knowledge from 2D natural images pretrained models for 3D medical image segmentation with only a few labeled data.

FedDEAP: Adaptive Dual-Prompt Tuning for Multi-Domain Federated Learning
Yubin Zheng, Pak Hei Yeung, Jing Xia, Tianjie Ju, Peng Tang, Weidong Qiu, Jagath C Rajapakse
ACM Multimedia, 2025
paper / bibtex

An adaptive federated prompt tuning framework to enhance CLIP's generalization in multi-domain scenarios by disentangling semantic and domain-specific features with dual-prompt design.

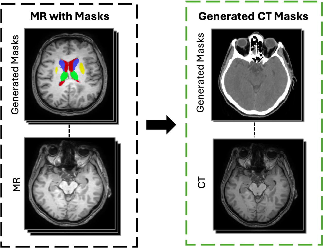
Subcortical Masks Generation in CT Images via Ensemble-Based Cross-Domain Label Transfer
Augustine XW Lee*, Pak Hei Yeung*, Jagath C Rajapakse
Annual Conference on Medical Image Understanding and Analysis (MIUA), 2025 (Oral)
paper / code / bibtex

An automatic ensemble framework to generate subcortical segmentation labels for CT scans by leveraging existing MRI-based models, providing the first publicly available annotated CT dataset in the field.

Exploring Test Time Adaptation for Subcortical Segmentation of the Fetal Brain in 3D Ultrasound
Joshua Omolegan, Pak Hei Yeung, Madeleine K Wyburd, Linde Hesse, Monique Haak, The INTERGROWTH-21st Consortium Ana I.L. Namburete, Nicola K Dinsdale,
IEEE International Symposium on Biomedical Imaging (ISBI), 2025 (Oral)
paper / code / bibtex

A novel test time adaptation method for improving 3D subcortical segmentation of fetal brain in ultrasound images.

RapidVol: Rapid Reconstruction of 3D Ultrasound Volumes from Sensorless 2D Scans
Mark C Eid, Pak Hei Yeung, Madeleine K Wyburd, João F Henriques, Ana I.L. Namburete
IEEE International Symposium on Biomedical Imaging (ISBI), 2025
paper / bibtex

A neural representation framework using tensor-rank decomposition to enable rapid 3D volume reconstruction from 2D freehand scans.

Geometric Transformation Uncertainty for Improving 3D Fetal Brain Pose Prediction from Freehand 2D Ultrasound Videos
Jayroop Ramesh, Nicola K Dinsdale, The INTERGROWTH-21st Consortium, Pak Hei Yeung*, Ana I.L. Namburete*
International Conference on Medical Image Computing and Computer Assisted Intervention (MICCAI), 2024 (Oral)
paper / code / bibtex

An uncertainty-aware deep learning model for automated 3D plane localization in 2D fetal brain images.

Sensorless volumetric reconstruction of fetal brain freehand ultrasound scans with deep implicit representation
Pak Hei Yeung, Linde Hesse, Moska Aliasi, Monique Haak, The INTERGROWTH-21st Consortium, Weidi Xie*, Ana I.L. Namburete*
Medical Image Analysis, Volume 94, 2024 (Impact factor ∼ 12)
project page / paper / video / code / bibtex

Reconstructing a 3D volume from 2D freehand ultrasound images by training a deep network to implicitly represent the volume.

Adaptive 3D Localization of 2D Freehand Ultrasound Brain Images
Pak Hei Yeung, Moska Aliasi, The INTERGROWTH-21st Consortium, Weidi Xie, Ana I.L. Namburete
International Conference on Medical Image Computing and Computer Assisted Intervention (MICCAI), 2022
project page / paper / video / bibtex

Sensorless 3D localization of 2D freehand scans. Trained with just 3D volumes, the model can be adapted to any domains (e.g. machines) in an unsupervised manner.

ImplicitVol: Sensorless 3D Ultrasound Reconstruction with Deep Implicit Representation
Pak Hei Yeung, Linde Hesse, Moska Aliasi, Monique Haak, The INTERGROWTH-21st Consortium, Weidi Xie*, Ana I.L. Namburete*
Arxiv preprint, 2021
project page / paper / video / code / bibtex

Reconstructing a 3D volume from 2D freehand ultrasound images by training a deep network to implicitly represent the volume.

Sli2Vol: Annotate a 3D Volume from a Single Slice with Self-Supervised Learning
Pak Hei Yeung, Ana I.L. Namburete*, Weidi Xie*
International Conference on Medical Image Computing and Computer Assisted Intervention (MICCAI), 2021
project page / paper / video / code / bibtex

Trained with just raw 3D volumes, a single Sli2Vol model can be used to propagate a single-slice annotation to the whole 3D volume, for any structures across different modalities.

Learning to Map 2D Ultrasound Images into 3D Space with Minimal Human Annotation
Pak Hei Yeung, Moska Aliasi, Aris T. Papageorghiou, Monique Haak, Weidi Xie, Ana I.L. Namburete
Medical Image Analysis, Volume 70, 2021 (Impact factor ∼ 12)
project page / paper / video / code / bibtex

A network, trained with just registered volumes, to predict the 3D location of 2D freehand ultrasound fetal brain images and video.


The template of this webpage is from source code.